フェーズドアレイ超音波探傷技術
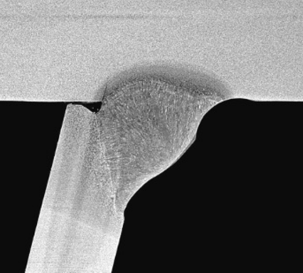
鋼床版のデッキプレートとUリブの溶接部に発生する疲労き裂には、溶接ルート側を発生起点として最終的にデッキプレートを貫通する「デッキ進展き裂」と、同じ発生起点で最終的に溶接ビードを貫通する「ビード進展き裂」の2タイプが存在します。
このうち、デッキ進展き裂は、進展の初期の段階で内在き裂として検出し対策を講じる必要があると考えられています。
これまでも様々な非破壊検査手法により、進展が可能な限り小さい状態での検出が試みられ、実際の橋梁で使用されてきました。
しかし、その検出限界は6mm程度以上のき裂とされており、より早い段階での対策が可能となるよう、検出限界の向上が望まれてきました。
当社は、医療分野で発達し、原子力発電所などの発電分野にて利用されているフェーズドアレイ超音波探傷法(以下、PAUTと略す)を、三菱重工業株式会社とその関連会社との共同で、橋梁分野に適用すべく研究・開発を行っています。
そして、デッキ進展き裂とビード進展き裂の溶接ビードを同時に検査することを目的として、PAUTを活用した自動走行スキャナを開発し、小型試験体に発生させたき裂や実際の橋梁での試行を経て、き裂進展の初期の段階でき裂を検出する技術を開発しました。
今後も新しい技術を橋梁分野に取り込むべく、開発を行っていきます。
フェーズドアレイ超音波法による鋼床版のき裂探傷
鋼床版のUリブ溶接部に発生する、デッキ進展き裂、ビード進展き裂の双方を、フェーズドアレイ超音波法を用いて精度良く検出・評価できる探傷装置
概要
- 磁石により吸着して、溶接線方向にデッキ側・Uリブ側から同時探傷しながら自動走行
- 探傷位置情報と関連付けてデータ化するため、ソフトウェア上で結果を再現可能
- 鋼床版のUリブ溶接部において、2~3mm程度のき裂を検出可能
-
自動走行PAUTスキャナ

-
計測状況

-
プローブの配置

き裂の比較
デッキ進展き裂
-
デッキ進展き裂 -
デッキ進展き裂の探傷例 -

ビード進展き裂
-
ビード進展き裂 -
ビード進展き裂の探傷例 -
